¿Podemos blanquear un diente desvitalizado?

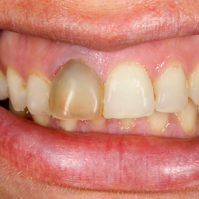
Los dientes endodonciados, es decir, aquellos que han sido tratados con una endodoncia (tratamiento de conducto), pueden presentar un oscurecimiento progresivo con el paso del tiempo. Esta alteración en el color puede provocar un impacto negativo en la estética de la sonrisa. En estos casos, existe la opción de blanquear el diente desde el interior, mediante un procedimiento específico conocido como blanqueamiento interno.

Este tratamiento se diferencia del blanqueamiento externo en que se realiza directamente dentro del diente, en la cámara pulpar, y solo se aplica sobre la pieza dental afectada, no sobre el resto. Es una técnica segura, eficaz y muy utilizada cuando el oscurecimiento es localizado.

¿Cómo se realiza?

El procedimiento suele requerir varias sesiones y se lleva a cabo en los siguientes pasos:

  1. Diagnóstico y evaluación inicial: se toman radiografías y fotografías para analizar el estado del diente y determinar si es apto para el tratamiento.

  2. Apertura de la cámara pulpar: se accede al interior del diente para limpiarlo y aplicar el agente blanqueador.

  3. Sellado temporal: se cierra la apertura con un material provisional para permitir la acción del producto.

  4. Revisión y ajuste: se evalúa el resultado y, si es necesario, se repite el procedimiento hasta conseguir el tono deseado.

  5. Rehabilitación final: se reconstruye el diente y se realiza un estudio fotográfico final para valorar el éxito del tratamiento.

Este tratamiento no está indicado para menores de edad, embarazadas, personas con hipersensibilidad dental o alergia al peróxido. Si necesitas blanquear un diente oscurecido por una endodoncia, esta puede ser la solución estética y segura que buscas.

Si te gustaría recuperar el color de tu sonrisa, te animamos a ponerte en contacto con nosotros. Te esperamos como siempre, en Clínica dental Gobela.  https://www.clinicadentalgobela.es/