La ortodoncia infantil es clave para asegurar un correcto desarrollo de la boca y prevenir problemas futuros. No se trata solo de estética; pues una mala alineación dental o una mordida incorrecta pueden afectar a la masticación, el habla o … Leer Más
Blog
Torus mandibular. ¿Qué es y cómo tratarlo?
El torus mandibular es una protuberancia del hueso benigna que aparece con más frecuencia en la mandíbula. Crece con tanta lentitud que no causa síntomas, y con el paso de los años aumenta su tamaño. No suelen suponer un riesgo … Leer Más
Erupción dental infantil: etapas y cambios según la edad
La erupción dental infantil es un proceso natural que froma parte del crecimiento de los más pequeños. Aunque cada niño tiene su propio ritmo, conocer las estapas dentales ayuda a los padres a entender qué cambios son normales y así … Leer Más
La diabetes y la periodontitis o piorrea
¿Cómo puede la diabetes afectar la boca? La diabetes no solo afecta a los niveles de azúcar en sangre, sino también a la salud oral. Esto se debe a que la diabetes puede disminuir la producción de saliva y aumentar … Leer Más
Empuje lingual infantil: qué es y cómo corregirlo a tiempo
¿Qué es el empuje lingual infantil? El empuje lingual infantil, también llamado deglución atípica, es un hábito oral en el que la forma de tragar no es la correcta. Ocurre cuando el niño empuja la lengua contra los dientes (generalmente … Leer Más
Todo lo que no sabes sobre el Síndrome de boca ardiente
La glosodinia (o síndrome de la boca ardiente), es la sensación de quemazón o ardor constante en la boca. Puede afectar a tu lengua, a la parte interna de las mejillas, el paladar, las encías e incluso a la garganta, … Leer Más
Tac dental en niños
La salud dental de los niños es una prioridad para cualquier madre/padre preocupado. En ocasiones, surgen situaciones que requieren un análisis más profundo para comprender y abordar adecuadamente los problemas dentales de los pequeños. En estos casos, la tomografía computarizada … Leer Más
¿Qué pasa cuando fumo?
Fumar puede ser perjudicial para la salud y, en algunos casos, puede provocar enfermedades letales. Sin embargo, muchas personas no son conscientes del daño que el tabaco provoca en la boca, dientes y encías. Estas son algunas consecuencias del tabaquismo … Leer Más
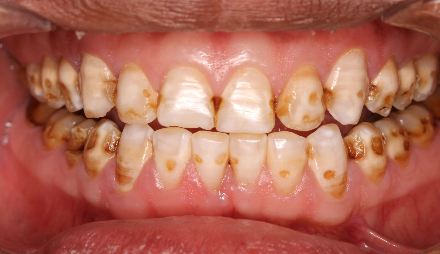
¿Qué es la fluorosis dental y cómo se cura?
La fluorosis dental es una alteración del esmalte que se produce debido a un consumo excesivo de flúor durante la etapa de desarrollo de los dientes. Aunque este mineral resulta esencial para prevenir la caries dental, su exceso podría tener … Leer Más
¿Cómo afecta el alcohol a la salud bucodental?
El consumo de alcohol es una práctica muy común en nuestra sociedad, pero ¿Sabías que puede tener graves repercusiones para nuestra salud bucodental? Numerosos estudios han demostrado que el consumo excesivo de alcohol contribuye a la inflamación y erosión de … Leer Más