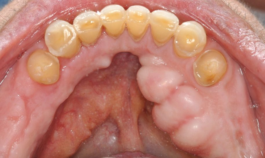
Torus mandibular. ¿Qué es y cómo tratarlo?

El torus mandibular es una protuberancia del hueso benigna que aparece con más frecuencia en la mandíbula. Crece con tanta lentitud que no causa síntomas, y con el paso de los años aumenta su tamaño.

No suelen suponer un riesgo para el paciente ni provocar muchas complicaciones, aunque hay casos en los que sí se requiere tratamiento.

Existen dos tipos de torus, el que aparece en la zona del paladar (torus maxilar), o el que aparece en la parte inferior de la boca (torus mandibular).

¿Cuál es su causa?

  • Problemas en la ATM (Articulación temporomandibular)

Cuando la ATM se desarrolla de manera incorrecta puede provocar anomalías en el hueso, favoreciendo la aparición del torus.

  • Por un golpe o traumatismo

Como consecuencia de haber recibido un golpe, impacto o traumatismo en la boca, la estructura ósea puede resentirse y comenzar a hipertrofiarse.

  • Estrés o bruxismo

Cuando se aprietan los dientes durante mucho tiempo se produce un mayor crecimiento del hueso lo que favorece la aparición de éstas protuberancias. Lo mismo pasa con personas en situaciones de alto estrés.

¿Es peligroso?

El torus no supone un peligro para el paciente. Además, como no presenta ningún tipo de síntoma, no suele provocar molestias. Sin embargo, hay casos en los que dependiendo del tamaño sí puede producir alguna como:

  • Alteraciones en la estética
  • Problemas en la fonación
  • Problemas en el ajuste de las prótesis removibles
  • Dificultad para mantener una buena higiene bucal
  • Ulceraciones provocadas por microtraumatismos

Tratamiento para eliminar el torus

Teniendo en cuenta que el torus no produce daños, la mayoría de las veces no es necesario tratarlo. Solo en los casos en los que el profesional considere se decidirá eliminar total o parcialmente el hueso sobrante con una fresa o con una lima de hueso. Las intervenciones se realizan bajo anestesia local para evitar cualquier posible molestia o dolor para el paciente.

Recuerda pasar tu revisión anual en Clínica Dental Gobela https://www.clinicadentalgobela.es/